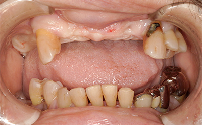
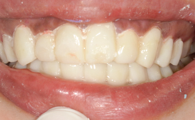
どんなボロボロの歯でも
を実現します
埼玉県久喜市桜田3-1-3東鷲宮駅前ビル2F
JR東鷲宮駅東口より徒歩すぐ!
どんなボロボロの歯でも
を実現します
埼玉県久喜市桜田3-1-3東鷲宮駅前ビル2F
JR東鷲宮駅東口より徒歩すぐ!
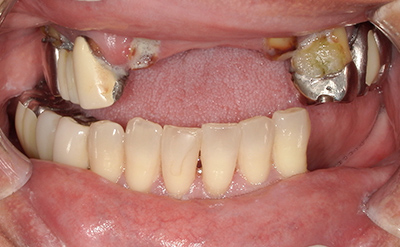
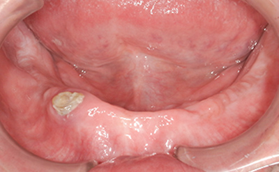
抜けている歯を
なんとかしたい
食事が
全然楽しくない
最近柔らかいもの
ばかり食べている
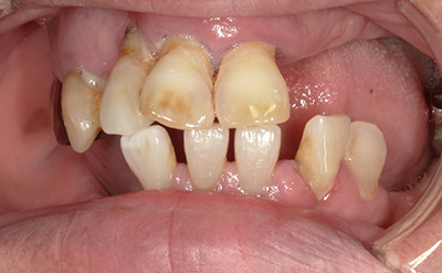
歯がボロボロ
見栄えが悪く
友達と会う気に
なれない
大好きなスルメも
食べられなく
なってしまった
CONSULTATION
開催時間
10:00~/11:00~/12:00~/14:00~/15:00~/16:00~/17:00~/18:00~
相談・検査・お見積りまで、
費用は一切かかりません
のでご安心ください
あなたに合わせた
治療の選択肢
治療にかかる
費用の目安
治療にかかる
期間の目安
直面している
お悩みの回答
無料相談から治療まで
豊富な知識・経験のある
歯科医師が担当します
眠りながら治療する
方法があります!
さまざまな麻酔と
テクニックで
痛みは
ほとんど感じません!
デンタルローンの利用で
負担を抑えることが
できます!
CONSULTATION
開催時間
10:00~/11:00~/12:00~/14:00~/15:00~/16:00~/17:00~/18:00~
相談・検査・お見積りまで、
費用は一切かかりません
のでご安心ください
精度の
高い検査
上質な
治療

さまざまな先端設備
歯科治療で使用する設備は治療の質を左右すると考えています。
当院では、より新しい先端設備を多数導入し、上質な治療を患者様に提供できる環境を整えています。また、治療を検討するための精密検査においても高性能な設備を使用し、精度の高い検査を行います。
専門性の
高い治療
培ってきた
技術

豊富な知識・経験
入れ歯やインプラント治療など、豊富な知識と経験のある院長がカウンセリングから治療まで全て対応しています。
臨床経験22年以上、インプラント治療においては、500本以上の実績があり、海外のセミナーなども多数参加しておりますので安心してお任せください。
専門
スタッフ
多数
密な連携

チーム医療
より専門的な治療を提供できるよう、チーム医療にこだわっています。
当院では、歯科医師や歯科衛生士、歯科技工士、歯科助手、麻酔科専門医など、さまざまな専門スタッフと連携を密に取り合い、患者様お一人おひとりに合わせた治療を提供しています。
CONSULTATION
開催時間
10:00~/11:00~/12:00~/14:00~/15:00~/16:00~/17:00~/18:00~
相談・検査・お見積りまで、
費用は一切かかりません
のでご安心ください
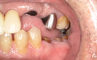
抜けてしまった歯の両隣に健康な歯がある場合は、その歯を支えとして橋を渡すように人工歯で補う方法です。
抜けてしまった歯の部分に人工歯根(インプラント体)を埋め込み、人工歯を被せて歯を補う方法です。
入れ歯には全部床義歯(総入れ歯)と部分床義歯(部分入れ歯)があります。部分床義歯の場合、抜けてしまった歯の両隣に金属の留め具を引っかけて固定します。
歯がほとんどない場合でも!
たった4本のインプラントで
全ての歯を支えることが
できます
日帰り
手術が
可能
費用・
身体の負担を
軽減
綺麗な歯を
その日の
うちに
CONSULTATION
開催時間
10:00~/11:00~/12:00~/14:00~/15:00~/16:00~/17:00~/18:00~
相談・検査・お見積りまで、
費用は一切かかりません
のでご安心ください
経験豊富な歯科医師と経験の浅い歯科医師における最大の違いは、患者様の現在の状態はもちろんのこと、治療後の患者様の生活を見据えた判断ができるかという点があげられると思います。また、経験豊富な歯科医師は、治療の技術だけでなく、治療のリスクを正確に判断する能力も持っています。言い換えると、私たちは安全で適切な治療のみ行うため、治療時のリクスや治療後のトラブルが少ない傾向にあります。
CTなどの精密な検査結果を基に、患者様にとっての最適解を一緒に考えていきますので、治療を考える際には、経験豊富な歯科医師と一緒に検討することが重要だと考えています。
CONSULTATION
開催時間
10:00~/11:00~/12:00~/14:00~/15:00~/16:00~/17:00~/18:00~
相談・検査・お見積りまで、
費用は一切かかりません
のでご安心ください
インプラント
| 3D-CT撮影 | 33,000円 | |
|---|---|---|
| インプラント本体代(1本) | 220,000円 | |
| インプラント埋入手術 | 110,000円 | |
| 静脈内鎮静法(オプション) | 110,000円 | |
| 骨再生手術(オプション) | サイナスリフト | 330,000円 |
| サイナスリフト | 110,000円 | |
| GBRソケット プ゚リザベーション |
55,000円 | |
| 抜歯即時手術(オプション) | 55,000円 | |
| アバットメント(1本) | マルチユニット アバットメント |
165,000円 |
| ジルコニアアバットメント | 143,000円 | |
| チタンアバットメント | 110,000円 | |
| 上部構造 | プロセラ | 165,000円 |
| フルジルコニア | 110,000円 | |
| ハイブリッド | 66,000円 | |
※表示金額は全て税込みです
入れ歯
| 入れ歯製作 | 110,000円~※症例より異なる |
|---|
※表示金額は全て税込みです
オールオン4
オールオン4 ※無料相談、3D-CT撮影、精密検査・診断料、コンピューターガイド(Xガイド)使用料、インプラントオペ代、インプラント本体代、仮歯、最終的な人工歯が含まれます。 |
3,380,000円~4,780,000円 |
|---|
※表示金額は全て税込みです
当院では、下記のお支払方法が可能です。
医療費控除は、1年間に払った医療費が大きい場合に所得税を減免する制度です。
総所得が200万円以上なら、年間に10万円を超える医療費から
生命保険などで補填された金額を引いた分が控除対象です。
CONSULTATION
開催時間
10:00~/11:00~/12:00~/14:00~/15:00~/16:00~/17:00~/18:00~
相談・検査・お見積りまで、
費用は一切かかりません
のでご安心ください
医院名
のざわ歯科クリニック
医院長
野澤 真也
電話番号
0480-57-1718
住所
〒340-0203
埼玉県久喜市桜田3-1-3
東鷲宮駅前ビル2F
アクセス
JR東鷲宮駅東口より徒歩すぐ